Decode DICOM files for medical imaging

View on TensorFlow.org Run in Google Colab View source on GitHub Download notebook

Overview

This tutorial shows how to use tfio.image.decode_dicom_image in TensorFlow IO to decode DICOM files with TensorFlow.

Setup and Usage

Download DICOM image

The DICOM image used in this tutorial is from the NIH Chest X-ray dataset.

The NIH Chest X-ray dataset consists of 100,000 de-identified images of chest x-rays in PNG format, provided by NIH Clinical Center and could be downloaded through this link.

Google Cloud also provides a DICOM version of the images, available in Cloud Storage.

In this tutorial, you will download a sample file of the dataset from the GitHub repo

  • Xiaosong Wang, Yifan Peng, Le Lu, Zhiyong Lu, Mohammadhadi Bagheri, Ronald Summers, ChestX-ray8: Hospital-scale Chest X-ray Database and Benchmarks on Weakly-Supervised Classification and Localization of Common Thorax Diseases, IEEE CVPR, pp. 3462-3471, 2017
curl -OL https://github.com/tensorflow/io/raw/master/docs/tutorials/dicom/dicom_00000001_000.dcm
ls -l dicom_00000001_000.dcm
% Total    % Received % Xferd  Average Speed   Time    Time     Time  Current
                                 Dload  Upload   Total   Spent    Left  Speed
100   164    0   164    0     0    600      0 --:--:-- --:--:-- --:--:--   598
100 1024k  100 1024k    0     0  1915k      0 --:--:-- --:--:-- --:--:-- 1915k
-rw-rw-r-- 1 kbuilder kokoro 1049332 Nov 22 03:47 dicom_00000001_000.dcm

Install required Packages, and restart runtime

try:
  # Use the Colab's preinstalled TensorFlow 2.x
  %tensorflow_version 2.x 
except:
  pass
pip install tensorflow-io

Decode DICOM image

import matplotlib.pyplot as plt
import numpy as np

import tensorflow as tf
import tensorflow_io as tfio

image_bytes = tf.io.read_file('dicom_00000001_000.dcm')

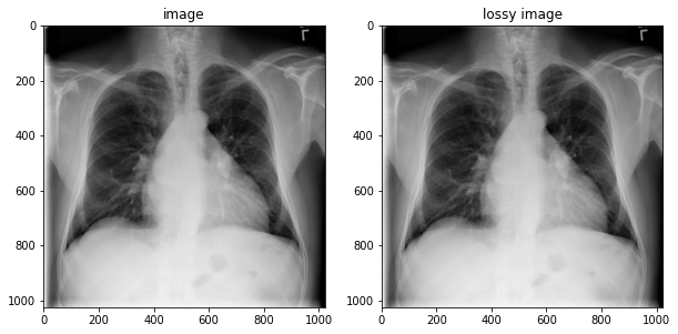
image = tfio.image.decode_dicom_image(image_bytes, dtype=tf.uint16)

skipped = tfio.image.decode_dicom_image(image_bytes, on_error='skip', dtype=tf.uint8)

lossy_image = tfio.image.decode_dicom_image(image_bytes, scale='auto', on_error='lossy', dtype=tf.uint8)


fig, axes = plt.subplots(1,2, figsize=(10,10))
axes[0].imshow(np.squeeze(image.numpy()), cmap='gray')
axes[0].set_title('image')
axes[1].imshow(np.squeeze(lossy_image.numpy()), cmap='gray')
axes[1].set_title('lossy image');
2021-11-22 03:47:53.016507: E tensorflow/stream_executor/cuda/cuda_driver.cc:271] failed call to cuInit: CUDA_ERROR_NO_DEVICE: no CUDA-capable device is detected

png

Decode DICOM Metadata and working with Tags

decode_dicom_data decodes tag information. dicom_tags contains useful information as the patient's age and sex, so you can use DICOM tags such as dicom_tags.PatientsAge and dicom_tags.PatientsSex. tensorflow_io borrow the same tag notation from the pydicom dicom package.

tag_id = tfio.image.dicom_tags.PatientsAge
tag_value = tfio.image.decode_dicom_data(image_bytes,tag_id)
print(tag_value)
tf.Tensor(b'58', shape=(), dtype=string)
print(f"PatientsAge : {tag_value.numpy().decode('UTF-8')}")
PatientsAge : 58
tag_id = tfio.image.dicom_tags.PatientsSex
tag_value = tfio.image.decode_dicom_data(image_bytes,tag_id)
print(f"PatientsSex : {tag_value.numpy().decode('UTF-8')}")
PatientsSex : M