Dekoduj pliki DICOM do obrazowania medycznego

Zobacz na TensorFlow.org Uruchom w Google Colab Wyświetl źródło na GitHub Pobierz notatnik

Przegląd

Ten poradnik pokazuje, jak używać tfio.image.decode_dicom_image w TensorFlow IO do dekodowania plików DICOM z TensorFlow.

Konfiguracja i użytkowanie

Pobierz obraz DICOM

Obraz DICOM wykorzystane w tym tutorialu pochodzi z NIH RTG klatki piersiowej zbiorze .

NIH RTG klatki piersiowej zestaw danych składa się z 100.000 de zidentyfikowanych obrazów rentgenowskich klatki piersiowej w formacie PNG, świadczonych przez NIH Clinical Center i można pobrać za pośrednictwem tego linka .

Google Cloud zapewnia również wersję DICOM obrazów, dostępną w chmurze .

W tym poradniku, będzie można pobrać przykładowy plik zbioru danych z repo GitHub

  • Xiaosong Wang, Yifan Peng, Le Lu, Zhiyong Lu, Mohammadhadi Bagheri, Ronald Summers, ChestX-ray8: Szpitalna baza danych rentgenowskich klatki piersiowej i punkty odniesienia dotyczące słabo nadzorowanej klasyfikacji i lokalizacji powszechnych chorób klatki piersiowej, IEEE CVPR, s. 3462 -3471, 2017
curl -OL https://github.com/tensorflow/io/raw/master/docs/tutorials/dicom/dicom_00000001_000.dcm
ls -l dicom_00000001_000.dcm
% Total    % Received % Xferd  Average Speed   Time    Time     Time  Current
                                 Dload  Upload   Total   Spent    Left  Speed
100   164    0   164    0     0    600      0 --:--:-- --:--:-- --:--:--   598
100 1024k  100 1024k    0     0  1915k      0 --:--:-- --:--:-- --:--:-- 1915k
-rw-rw-r-- 1 kbuilder kokoro 1049332 Nov 22 03:47 dicom_00000001_000.dcm

Zainstaluj wymagane pakiety i uruchom ponownie środowisko wykonawcze

try:
  # Use the Colab's preinstalled TensorFlow 2.x
  %tensorflow_version 2.x 
except:
  pass
pip install tensorflow-io

Dekoduj obraz DICOM

import matplotlib.pyplot as plt
import numpy as np

import tensorflow as tf
import tensorflow_io as tfio

image_bytes = tf.io.read_file('dicom_00000001_000.dcm')

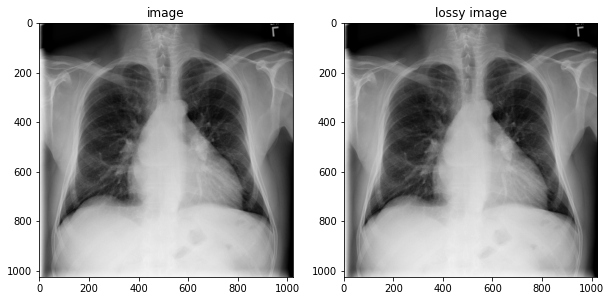
image = tfio.image.decode_dicom_image(image_bytes, dtype=tf.uint16)

skipped = tfio.image.decode_dicom_image(image_bytes, on_error='skip', dtype=tf.uint8)

lossy_image = tfio.image.decode_dicom_image(image_bytes, scale='auto', on_error='lossy', dtype=tf.uint8)


fig, axes = plt.subplots(1,2, figsize=(10,10))
axes[0].imshow(np.squeeze(image.numpy()), cmap='gray')
axes[0].set_title('image')
axes[1].imshow(np.squeeze(lossy_image.numpy()), cmap='gray')
axes[1].set_title('lossy image');
2021-11-22 03:47:53.016507: E tensorflow/stream_executor/cuda/cuda_driver.cc:271] failed call to cuInit: CUDA_ERROR_NO_DEVICE: no CUDA-capable device is detected

png

Dekodowanie metadanych DICOM i praca z tagami

decode_dicom_data dekoduje informacje zawarte w znacznikach. dicom_tags zawiera użyteczne informacje jak wiek i płeć pacjenta, dzięki czemu można używać znaczników takich jak DICOM dicom_tags.PatientsAge i dicom_tags.PatientsSex . tensorflow_io pożyczyć tę samą notację tagów z pakietu dicom pydicom.

tag_id = tfio.image.dicom_tags.PatientsAge
tag_value = tfio.image.decode_dicom_data(image_bytes,tag_id)
print(tag_value)
tf.Tensor(b'58', shape=(), dtype=string)
print(f"PatientsAge : {tag_value.numpy().decode('UTF-8')}")
PatientsAge : 58
tag_id = tfio.image.dicom_tags.PatientsSex
tag_value = tfio.image.decode_dicom_data(image_bytes,tag_id)
print(f"PatientsSex : {tag_value.numpy().decode('UTF-8')}")
PatientsSex : M