View on TensorFlow.org |
Google Colab で実行 |
View source on GitHub |
Download notebook |
概要
このチュートリアルでは、TensorFlow IO で tfio.image.decode_dicom_image を使用し、TensorFlow で DICOM ファイルをデコードする方法を説明します。
セットアップと使用方法
DICOM 画像のダウンロード
このチュートリアルでは、NIH Chest X-ray データセットの DICOM 画像を使用します。
NIH Chest X-ray データセットには、100,000 件の匿名化された胸部レントゲン画像が PNG 形式で含まれています。NIH Clinical Center が提供しているデータセットで、こちらのリンクからダウンロードできます。
Google Cloud でも、DICOM バージョンの画像が提供されています。Cloud Storage で入手可能です。
このチュートリアルでは、GitHub リポジトリより、データセットのサンプルファイルをダウンロードします。
注意: データセットの詳細については、次のリファレンスをご覧ください。
- Xiaosong Wang, Yifan Peng, Le Lu, Zhiyong Lu, Mohammadhadi Bagheri, Ronald Summers, ChestX-ray8: Hospital-scale Chest X-ray Database and Benchmarks on Weakly-Supervised Classification and Localization of Common Thorax Diseases, IEEE CVPR, pp. 3462-3471, 2017
curl -OL https://github.com/tensorflow/io/raw/master/docs/tutorials/dicom/dicom_00000001_000.dcmls -l dicom_00000001_000.dcm
% Total % Received % Xferd Average Speed Time Time Time Current
Dload Upload Total Spent Left Speed
100 164 0 164 0 0 340 0 --:--:-- --:--:-- --:--:-- 340
100 1024k 100 1024k 0 0 716k 0 0:00:01 0:00:01 --:--:-- 9836k
-rw-rw-r-- 1 kbuilder kokoro 1049332 Feb 13 02:53 dicom_00000001_000.dcm
必要なパッケージをインストールし、ランタイムを再起動する
try:
# Use the Colab's preinstalled TensorFlow 2.x
%tensorflow_version 2.x
except:
pass
pip install -q tensorflow-ioDICOM 画像をデコードする
import matplotlib.pyplot as plt
import numpy as np
import tensorflow as tf
import tensorflow_io as tfio
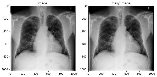
image_bytes = tf.io.read_file('dicom_00000001_000.dcm')
image = tfio.image.decode_dicom_image(image_bytes, dtype=tf.uint16)
skipped = tfio.image.decode_dicom_image(image_bytes, on_error='skip', dtype=tf.uint8)
lossy_image = tfio.image.decode_dicom_image(image_bytes, scale='auto', on_error='lossy', dtype=tf.uint8)
fig, axes = plt.subplots(1,2, figsize=(10,10))
axes[0].imshow(np.squeeze(image.numpy()), cmap='gray')
axes[0].set_title('image')
axes[1].imshow(np.squeeze(lossy_image.numpy()), cmap='gray')
axes[1].set_title('lossy image');
Text(0.5, 1.0, 'lossy image')

View on TensorFlow.org
Google Colab で実行
View source on GitHub
Download notebook