Object detection with Model Garden

View on TensorFlow.org Run in Google Colab View on GitHub Download notebook

This tutorial fine-tunes a RetinaNet with ResNet-50 as backbone model from the TensorFlow Model Garden package (tensorflow-models) to detect three different Blood Cells in BCCD dataset. The RetinaNet is pretrained on COCO train2017 and evaluated on COCO val2017

Model Garden contains a collection of state-of-the-art models, implemented with TensorFlow's high-level APIs. The implementations demonstrate the best practices for modeling, letting users to take full advantage of TensorFlow for their research and product development.

This tutorial demonstrates how to:

  1. Use models from the Tensorflow Model Garden(TFM) package.
  2. Fine-tune a pre-trained RetinanNet with ResNet-50 as backbone for object detection.
  3. Export the tuned RetinaNet model

Install necessary dependencies

pip install -U -q "tf-models-official"

Import required libraries

import os
import io
import pprint
import tempfile
import matplotlib
import numpy as np
import tensorflow as tf
import matplotlib.pyplot as plt

from PIL import Image
from six import BytesIO
from IPython import display
from urllib.request import urlopen
2023-11-09 12:15:18.455434: E tensorflow/compiler/xla/stream_executor/cuda/cuda_dnn.cc:9342] Unable to register cuDNN factory: Attempting to register factory for plugin cuDNN when one has already been registered
2023-11-09 12:15:18.455488: E tensorflow/compiler/xla/stream_executor/cuda/cuda_fft.cc:609] Unable to register cuFFT factory: Attempting to register factory for plugin cuFFT when one has already been registered
2023-11-09 12:15:18.455537: E tensorflow/compiler/xla/stream_executor/cuda/cuda_blas.cc:1518] Unable to register cuBLAS factory: Attempting to register factory for plugin cuBLAS when one has already been registered

Import required libraries from tensorflow models

import orbit
import tensorflow_models as tfm

from official.core import exp_factory
from official.core import config_definitions as cfg
from official.vision.serving import export_saved_model_lib
from official.vision.ops.preprocess_ops import normalize_image
from official.vision.ops.preprocess_ops import resize_and_crop_image
from official.vision.utils.object_detection import visualization_utils
from official.vision.dataloaders.tf_example_decoder import TfExampleDecoder

pp = pprint.PrettyPrinter(indent=4) # Set Pretty Print Indentation
print(tf.__version__) # Check the version of tensorflow used

%matplotlib inline
2.14.0

Custom dataset preparation for object detection

Models in official repository(of model-garden) requires data in a TFRecords format.

Please check this resource to learn more about TFRecords data format.

Upload your custom data in drive or local disk of the notebook and unzip the data

curl -L 'https://public.roboflow.com/ds/ZpYLqHeT0W?key=ZXfZLRnhsc' > './BCCD.v1-bccd.coco.zip'
unzip -q -o './BCCD.v1-bccd.coco.zip' -d './BCC.v1-bccd.coco/'
rm './BCCD.v1-bccd.coco.zip'
% Total    % Received % Xferd  Average Speed   Time    Time     Time  Current
                                 Dload  Upload   Total   Spent    Left  Speed
100   892  100   892    0     0   3391      0 --:--:-- --:--:-- --:--:--  3391
100 15.2M  100 15.2M    0     0  28.7M      0 --:--:-- --:--:-- --:--:--  288M

CLI command to convert data(train data).


TRAIN_DATA_DIR='./BCC.v1-bccd.coco/train'
TRAIN_ANNOTATION_FILE_DIR='./BCC.v1-bccd.coco/train/_annotations.coco.json'
OUTPUT_TFRECORD_TRAIN='./bccd_coco_tfrecords/train'

# Need to provide
  # 1. image_dir: where images are present
  # 2. object_annotations_file: where annotations are listed in json format
  # 3. output_file_prefix: where to write output convered TFRecords files
python -m official.vision.data.create_coco_tf_record --logtostderr \
  --image_dir=${TRAIN_DATA_DIR} \
  --object_annotations_file=${TRAIN_ANNOTATION_FILE_DIR} \
  --output_file_prefix=$OUTPUT_TFRECORD_TRAIN \
  --num_shards=1
2023-11-09 12:15:24.203902: E tensorflow/compiler/xla/stream_executor/cuda/cuda_dnn.cc:9342] Unable to register cuDNN factory: Attempting to register factory for plugin cuDNN when one has already been registered
2023-11-09 12:15:24.203959: E tensorflow/compiler/xla/stream_executor/cuda/cuda_fft.cc:609] Unable to register cuFFT factory: Attempting to register factory for plugin cuFFT when one has already been registered
2023-11-09 12:15:24.203987: E tensorflow/compiler/xla/stream_executor/cuda/cuda_blas.cc:1518] Unable to register cuBLAS factory: Attempting to register factory for plugin cuBLAS when one has already been registered
2023-11-09 12:15:27.899086: W tensorflow/core/common_runtime/gpu/gpu_device.cc:2211] Cannot dlopen some GPU libraries. Please make sure the missing libraries mentioned above are installed properly if you would like to use GPU. Follow the guide at https://www.tensorflow.org/install/gpu for how to download and setup the required libraries for your platform.
Skipping registering GPU devices...
I1109 12:15:27.900500 140558803519296 create_coco_tf_record.py:502] writing to output path: ./bccd_coco_tfrecords/train
I1109 12:15:28.110808 140558803519296 create_coco_tf_record.py:374] Building bounding box index.
I1109 12:15:28.112704 140558803519296 create_coco_tf_record.py:385] 0 images are missing bboxes.
I1109 12:15:28.376975 140558803519296 tfrecord_lib.py:168] On image 0
I1109 12:15:28.383184 140558803519296 tfrecord_lib.py:168] On image 100
I1109 12:15:28.388326 140558803519296 tfrecord_lib.py:168] On image 200
I1109 12:15:28.393295 140558803519296 tfrecord_lib.py:168] On image 300
I1109 12:15:28.398152 140558803519296 tfrecord_lib.py:168] On image 400
I1109 12:15:28.403067 140558803519296 tfrecord_lib.py:168] On image 500
I1109 12:15:28.407919 140558803519296 tfrecord_lib.py:168] On image 600
I1109 12:15:28.412595 140558803519296 tfrecord_lib.py:168] On image 700
I1109 12:15:28.438800 140558803519296 tfrecord_lib.py:180] Finished writing, skipped 6 annotations.
I1109 12:15:28.445898 140558803519296 create_coco_tf_record.py:537] Finished writing, skipped 6 annotations.

CLI command to convert data(validation data).


VALID_DATA_DIR='./BCC.v1-bccd.coco/valid'
VALID_ANNOTATION_FILE_DIR='./BCC.v1-bccd.coco/valid/_annotations.coco.json'
OUTPUT_TFRECORD_VALID='./bccd_coco_tfrecords/valid'

python -m official.vision.data.create_coco_tf_record --logtostderr \
  --image_dir=$VALID_DATA_DIR \
  --object_annotations_file=$VALID_ANNOTATION_FILE_DIR \
  --output_file_prefix=$OUTPUT_TFRECORD_VALID \
  --num_shards=1
2023-11-09 12:15:29.695864: E tensorflow/compiler/xla/stream_executor/cuda/cuda_dnn.cc:9342] Unable to register cuDNN factory: Attempting to register factory for plugin cuDNN when one has already been registered
2023-11-09 12:15:29.695909: E tensorflow/compiler/xla/stream_executor/cuda/cuda_fft.cc:609] Unable to register cuFFT factory: Attempting to register factory for plugin cuFFT when one has already been registered
2023-11-09 12:15:29.695940: E tensorflow/compiler/xla/stream_executor/cuda/cuda_blas.cc:1518] Unable to register cuBLAS factory: Attempting to register factory for plugin cuBLAS when one has already been registered
2023-11-09 12:15:33.418966: W tensorflow/core/common_runtime/gpu/gpu_device.cc:2211] Cannot dlopen some GPU libraries. Please make sure the missing libraries mentioned above are installed properly if you would like to use GPU. Follow the guide at https://www.tensorflow.org/install/gpu for how to download and setup the required libraries for your platform.
Skipping registering GPU devices...
I1109 12:15:33.419316 140466682771264 create_coco_tf_record.py:502] writing to output path: ./bccd_coco_tfrecords/valid
I1109 12:15:33.426927 140466682771264 create_coco_tf_record.py:374] Building bounding box index.
I1109 12:15:33.427194 140466682771264 create_coco_tf_record.py:385] 0 images are missing bboxes.
I1109 12:15:33.632256 140466682771264 tfrecord_lib.py:168] On image 0
I1109 12:15:33.659518 140466682771264 tfrecord_lib.py:180] Finished writing, skipped 0 annotations.
I1109 12:15:33.660955 140466682771264 create_coco_tf_record.py:537] Finished writing, skipped 0 annotations.

CLI command to convert data(test data).


TEST_DATA_DIR='./BCC.v1-bccd.coco/test'
TEST_ANNOTATION_FILE_DIR='./BCC.v1-bccd.coco/test/_annotations.coco.json'
OUTPUT_TFRECORD_TEST='./bccd_coco_tfrecords/test'

python -m official.vision.data.create_coco_tf_record --logtostderr \
  --image_dir=$TEST_DATA_DIR \
  --object_annotations_file=$TEST_ANNOTATION_FILE_DIR \
  --output_file_prefix=$OUTPUT_TFRECORD_TEST \
  --num_shards=1
2023-11-09 12:15:34.949263: E tensorflow/compiler/xla/stream_executor/cuda/cuda_dnn.cc:9342] Unable to register cuDNN factory: Attempting to register factory for plugin cuDNN when one has already been registered
2023-11-09 12:15:34.949311: E tensorflow/compiler/xla/stream_executor/cuda/cuda_fft.cc:609] Unable to register cuFFT factory: Attempting to register factory for plugin cuFFT when one has already been registered
2023-11-09 12:15:34.949341: E tensorflow/compiler/xla/stream_executor/cuda/cuda_blas.cc:1518] Unable to register cuBLAS factory: Attempting to register factory for plugin cuBLAS when one has already been registered
2023-11-09 12:15:38.592568: W tensorflow/core/common_runtime/gpu/gpu_device.cc:2211] Cannot dlopen some GPU libraries. Please make sure the missing libraries mentioned above are installed properly if you would like to use GPU. Follow the guide at https://www.tensorflow.org/install/gpu for how to download and setup the required libraries for your platform.
Skipping registering GPU devices...
I1109 12:15:38.592885 140186454914880 create_coco_tf_record.py:502] writing to output path: ./bccd_coco_tfrecords/test
I1109 12:15:38.596868 140186454914880 create_coco_tf_record.py:374] Building bounding box index.
I1109 12:15:38.597061 140186454914880 create_coco_tf_record.py:385] 0 images are missing bboxes.
I1109 12:15:38.788634 140186454914880 tfrecord_lib.py:168] On image 0
I1109 12:15:38.814095 140186454914880 tfrecord_lib.py:180] Finished writing, skipped 0 annotations.
I1109 12:15:38.815249 140186454914880 create_coco_tf_record.py:537] Finished writing, skipped 0 annotations.

Configure the Retinanet Resnet FPN COCO model for custom dataset.

Dataset used for fine tuning the checkpoint is Blood Cells Detection (BCCD).

train_data_input_path = './bccd_coco_tfrecords/train-00000-of-00001.tfrecord'
valid_data_input_path = './bccd_coco_tfrecords/valid-00000-of-00001.tfrecord'
test_data_input_path = './bccd_coco_tfrecords/test-00000-of-00001.tfrecord'
model_dir = './trained_model/'
export_dir ='./exported_model/'

In Model Garden, the collections of parameters that define a model are called configs. Model Garden can create a config based on a known set of parameters via a factory.

Use the retinanet_resnetfpn_coco experiment configuration, as defined by tfm.vision.configs.retinanet.retinanet_resnetfpn_coco.

The configuration defines an experiment to train a RetinanNet with Resnet-50 as backbone, FPN as decoder. Default Configuration is trained on COCO train2017 and evaluated on COCO val2017.

There are also other alternative experiments available such as retinanet_resnetfpn_coco, retinanet_spinenet_coco, fasterrcnn_resnetfpn_coco and more. One can switch to them by changing the experiment name argument to the get_exp_config function.

We are going to fine tune the Resnet-50 backbone checkpoint which is already present in the default configuration.

exp_config = exp_factory.get_exp_config('retinanet_resnetfpn_coco')

Adjust the model and dataset configurations so that it works with custom dataset(in this case BCCD).

batch_size = 8
num_classes = 3

HEIGHT, WIDTH = 256, 256
IMG_SIZE = [HEIGHT, WIDTH, 3]

# Backbone config.
exp_config.task.freeze_backbone = False
exp_config.task.annotation_file = ''

# Model config.
exp_config.task.model.input_size = IMG_SIZE
exp_config.task.model.num_classes = num_classes + 1
exp_config.task.model.detection_generator.tflite_post_processing.max_classes_per_detection = exp_config.task.model.num_classes

# Training data config.
exp_config.task.train_data.input_path = train_data_input_path
exp_config.task.train_data.dtype = 'float32'
exp_config.task.train_data.global_batch_size = batch_size
exp_config.task.train_data.parser.aug_scale_max = 1.0
exp_config.task.train_data.parser.aug_scale_min = 1.0

# Validation data config.
exp_config.task.validation_data.input_path = valid_data_input_path
exp_config.task.validation_data.dtype = 'float32'
exp_config.task.validation_data.global_batch_size = batch_size

Adjust the trainer configuration.

logical_device_names = [logical_device.name for logical_device in tf.config.list_logical_devices()]

if 'GPU' in ''.join(logical_device_names):
  print('This may be broken in Colab.')
  device = 'GPU'
elif 'TPU' in ''.join(logical_device_names):
  print('This may be broken in Colab.')
  device = 'TPU'
else:
  print('Running on CPU is slow, so only train for a few steps.')
  device = 'CPU'


train_steps = 1000
exp_config.trainer.steps_per_loop = 100 # steps_per_loop = num_of_training_examples // train_batch_size

exp_config.trainer.summary_interval = 100
exp_config.trainer.checkpoint_interval = 100
exp_config.trainer.validation_interval = 100
exp_config.trainer.validation_steps =  100 # validation_steps = num_of_validation_examples // eval_batch_size
exp_config.trainer.train_steps = train_steps
exp_config.trainer.optimizer_config.warmup.linear.warmup_steps = 100
exp_config.trainer.optimizer_config.learning_rate.type = 'cosine'
exp_config.trainer.optimizer_config.learning_rate.cosine.decay_steps = train_steps
exp_config.trainer.optimizer_config.learning_rate.cosine.initial_learning_rate = 0.1
exp_config.trainer.optimizer_config.warmup.linear.warmup_learning_rate = 0.05
Running on CPU is slow, so only train for a few steps.
2023-11-09 12:15:40.194897: W tensorflow/core/common_runtime/gpu/gpu_device.cc:2211] Cannot dlopen some GPU libraries. Please make sure the missing libraries mentioned above are installed properly if you would like to use GPU. Follow the guide at https://www.tensorflow.org/install/gpu for how to download and setup the required libraries for your platform.
Skipping registering GPU devices...
pp.pprint(exp_config.as_dict())
display.Javascript('google.colab.output.setIframeHeight("500px");')
{   'runtime': {   'all_reduce_alg': None,
                   'batchnorm_spatial_persistent': False,
                   'dataset_num_private_threads': None,
                   'default_shard_dim': -1,
                   'distribution_strategy': 'mirrored',
                   'enable_xla': False,
                   'gpu_thread_mode': None,
                   'loss_scale': None,
                   'mixed_precision_dtype': 'bfloat16',
                   'num_cores_per_replica': 1,
                   'num_gpus': 0,
                   'num_packs': 1,
                   'per_gpu_thread_count': 0,
                   'run_eagerly': False,
                   'task_index': -1,
                   'tpu': None,
                   'tpu_enable_xla_dynamic_padder': None,
                   'use_tpu_mp_strategy': False,
                   'worker_hosts': None},
    'task': {   'allow_image_summary': False,
                'annotation_file': '',
                'differential_privacy_config': None,
                'export_config': {   'cast_detection_classes_to_float': False,
                                     'cast_num_detections_to_float': False,
                                     'output_intermediate_features': False,
                                     'output_normalized_coordinates': False},
                'freeze_backbone': False,
                'init_checkpoint': 'gs://cloud-tpu-checkpoints/vision-2.0/resnet50_imagenet/ckpt-28080',
                'init_checkpoint_modules': 'backbone',
                'losses': {   'box_loss_weight': 50,
                              'focal_loss_alpha': 0.25,
                              'focal_loss_gamma': 1.5,
                              'huber_loss_delta': 0.1,
                              'l2_weight_decay': 0.0001,
                              'loss_weight': 1.0},
                'max_num_eval_detections': 100,
                'model': {   'anchor': {   'anchor_size': 4.0,
                                           'aspect_ratios': [0.5, 1.0, 2.0],
                                           'num_scales': 3},
                             'backbone': {   'resnet': {   'bn_trainable': True,
                                                           'depth_multiplier': 1.0,
                                                           'model_id': 50,
                                                           'replace_stem_max_pool': False,
                                                           'resnetd_shortcut': False,
                                                           'scale_stem': True,
                                                           'se_ratio': 0.0,
                                                           'stem_type': 'v0',
                                                           'stochastic_depth_drop_rate': 0.0},
                                             'type': 'resnet'},
                             'decoder': {   'fpn': {   'fusion_type': 'sum',
                                                       'num_filters': 256,
                                                       'use_keras_layer': False,
                                                       'use_separable_conv': False},
                                            'type': 'fpn'},
                             'detection_generator': {   'apply_nms': True,
                                                        'box_coder_weights': None,
                                                        'max_num_detections': 100,
                                                        'nms_iou_threshold': 0.5,
                                                        'nms_version': 'v2',
                                                        'pre_nms_score_threshold': 0.05,
                                                        'pre_nms_top_k': 5000,
                                                        'return_decoded': None,
                                                        'soft_nms_sigma': None,
                                                        'tflite_post_processing': {   'max_classes_per_detection': 4,
                                                                                      'max_detections': 200,
                                                                                      'nms_iou_threshold': 0.5,
                                                                                      'nms_score_threshold': 0.1,
                                                                                      'normalize_anchor_coordinates': False,
                                                                                      'omit_nms': False,
                                                                                      'use_regular_nms': False},
                                                        'use_class_agnostic_nms': False,
                                                        'use_cpu_nms': False},
                             'head': {   'attribute_heads': [],
                                         'num_convs': 4,
                                         'num_filters': 256,
                                         'share_classification_heads': False,
                                         'share_level_convs': True,
                                         'use_separable_conv': False},
                             'input_size': [256, 256, 3],
                             'max_level': 7,
                             'min_level': 3,
                             'norm_activation': {   'activation': 'relu',
                                                    'norm_epsilon': 0.001,
                                                    'norm_momentum': 0.99,
                                                    'use_sync_bn': False},
                             'num_classes': 4},
                'name': None,
                'per_category_metrics': False,
                'train_data': {   'apply_tf_data_service_before_batching': False,
                                  'autotune_algorithm': None,
                                  'block_length': 1,
                                  'cache': False,
                                  'cycle_length': None,
                                  'decoder': {   'simple_decoder': {   'attribute_names': [   ],
                                                                       'mask_binarize_threshold': None,
                                                                       'regenerate_source_id': False},
                                                 'type': 'simple_decoder'},
                                  'deterministic': None,
                                  'drop_remainder': True,
                                  'dtype': 'float32',
                                  'enable_shared_tf_data_service_between_parallel_trainers': False,
                                  'enable_tf_data_service': False,
                                  'file_type': 'tfrecord',
                                  'global_batch_size': 8,
                                  'input_path': './bccd_coco_tfrecords/train-00000-of-00001.tfrecord',
                                  'is_training': True,
                                  'parser': {   'aug_policy': None,
                                                'aug_rand_hflip': True,
                                                'aug_scale_max': 1.0,
                                                'aug_scale_min': 1.0,
                                                'aug_type': None,
                                                'match_threshold': 0.5,
                                                'max_num_instances': 100,
                                                'num_channels': 3,
                                                'skip_crowd_during_training': True,
                                                'unmatched_threshold': 0.5},
                                  'prefetch_buffer_size': None,
                                  'seed': None,
                                  'sharding': True,
                                  'shuffle_buffer_size': 10000,
                                  'tf_data_service_address': None,
                                  'tf_data_service_job_name': None,
                                  'tfds_as_supervised': False,
                                  'tfds_data_dir': '',
                                  'tfds_name': '',
                                  'tfds_skip_decoding_feature': '',
                                  'tfds_split': '',
                                  'trainer_id': None,
                                  'weights': None},
                'use_coco_metrics': True,
                'use_wod_metrics': False,
                'validation_data': {   'apply_tf_data_service_before_batching': False,
                                       'autotune_algorithm': None,
                                       'block_length': 1,
                                       'cache': False,
                                       'cycle_length': None,
                                       'decoder': {   'simple_decoder': {   'attribute_names': [   ],
                                                                            'mask_binarize_threshold': None,
                                                                            'regenerate_source_id': False},
                                                      'type': 'simple_decoder'},
                                       'deterministic': None,
                                       'drop_remainder': True,
                                       'dtype': 'float32',
                                       'enable_shared_tf_data_service_between_parallel_trainers': False,
                                       'enable_tf_data_service': False,
                                       'file_type': 'tfrecord',
                                       'global_batch_size': 8,
                                       'input_path': './bccd_coco_tfrecords/valid-00000-of-00001.tfrecord',
                                       'is_training': False,
                                       'parser': {   'aug_policy': None,
                                                     'aug_rand_hflip': False,
                                                     'aug_scale_max': 1.0,
                                                     'aug_scale_min': 1.0,
                                                     'aug_type': None,
                                                     'match_threshold': 0.5,
                                                     'max_num_instances': 100,
                                                     'num_channels': 3,
                                                     'skip_crowd_during_training': True,
                                                     'unmatched_threshold': 0.5},
                                       'prefetch_buffer_size': None,
                                       'seed': None,
                                       'sharding': True,
                                       'shuffle_buffer_size': 10000,
                                       'tf_data_service_address': None,
                                       'tf_data_service_job_name': None,
                                       'tfds_as_supervised': False,
                                       'tfds_data_dir': '',
                                       'tfds_name': '',
                                       'tfds_skip_decoding_feature': '',
                                       'tfds_split': '',
                                       'trainer_id': None,
                                       'weights': None} },
    'trainer': {   'allow_tpu_summary': False,
                   'best_checkpoint_eval_metric': '',
                   'best_checkpoint_export_subdir': '',
                   'best_checkpoint_metric_comp': 'higher',
                   'checkpoint_interval': 100,
                   'continuous_eval_timeout': 3600,
                   'eval_tf_function': True,
                   'eval_tf_while_loop': False,
                   'loss_upper_bound': 1000000.0,
                   'max_to_keep': 5,
                   'optimizer_config': {   'ema': None,
                                           'learning_rate': {   'cosine': {   'alpha': 0.0,
                                                                              'decay_steps': 1000,
                                                                              'initial_learning_rate': 0.1,
                                                                              'name': 'CosineDecay',
                                                                              'offset': 0},
                                                                'type': 'cosine'},
                                           'optimizer': {   'sgd': {   'clipnorm': None,
                                                                       'clipvalue': None,
                                                                       'decay': 0.0,
                                                                       'global_clipnorm': None,
                                                                       'momentum': 0.9,
                                                                       'name': 'SGD',
                                                                       'nesterov': False},
                                                            'type': 'sgd'},
                                           'warmup': {   'linear': {   'name': 'linear',
                                                                       'warmup_learning_rate': 0.05,
                                                                       'warmup_steps': 100},
                                                         'type': 'linear'} },
                   'preemption_on_demand_checkpoint': True,
                   'recovery_begin_steps': 0,
                   'recovery_max_trials': 0,
                   'steps_per_loop': 100,
                   'summary_interval': 100,
                   'train_steps': 1000,
                   'train_tf_function': True,
                   'train_tf_while_loop': True,
                   'validation_interval': 100,
                   'validation_steps': 100,
                   'validation_summary_subdir': 'validation'} }
<IPython.core.display.Javascript object>

Set up the distribution strategy.

if exp_config.runtime.mixed_precision_dtype == tf.float16:
    tf.keras.mixed_precision.set_global_policy('mixed_float16')

if 'GPU' in ''.join(logical_device_names):
  distribution_strategy = tf.distribute.MirroredStrategy()
elif 'TPU' in ''.join(logical_device_names):
  tf.tpu.experimental.initialize_tpu_system()
  tpu = tf.distribute.cluster_resolver.TPUClusterResolver(tpu='/device:TPU_SYSTEM:0')
  distribution_strategy = tf.distribute.experimental.TPUStrategy(tpu)
else:
  print('Warning: this will be really slow.')
  distribution_strategy = tf.distribute.OneDeviceStrategy(logical_device_names[0])

print('Done')
Warning: this will be really slow.
Done

Create the Task object (tfm.core.base_task.Task) from the config_definitions.TaskConfig.

The Task object has all the methods necessary for building the dataset, building the model, and running training & evaluation. These methods are driven by tfm.core.train_lib.run_experiment.

with distribution_strategy.scope():
  task = tfm.core.task_factory.get_task(exp_config.task, logging_dir=model_dir)

Visualize a batch of the data.

for images, labels in task.build_inputs(exp_config.task.train_data).take(1):
  print()
  print(f'images.shape: {str(images.shape):16}  images.dtype: {images.dtype!r}')
  print(f'labels.keys: {labels.keys()}')
images.shape: (8, 256, 256, 3)  images.dtype: tf.float32
labels.keys: dict_keys(['cls_targets', 'box_targets', 'anchor_boxes', 'cls_weights', 'box_weights', 'image_info'])

Create category index dictionary to map the labels to coressponding label names.

category_index={
    1: {
        'id': 1,
        'name': 'Platelets'
       },
    2: {
        'id': 2,
        'name': 'RBC'
       },
    3: {
        'id': 3,
        'name': 'WBC'
       }
}
tf_ex_decoder = TfExampleDecoder()

Helper function for visualizing the results from TFRecords.

Use visualize_boxes_and_labels_on_image_array from visualization_utils to draw boudning boxes on the image.

def show_batch(raw_records, num_of_examples):
  plt.figure(figsize=(20, 20))
  use_normalized_coordinates=True
  min_score_thresh = 0.30
  for i, serialized_example in enumerate(raw_records):
    plt.subplot(1, 3, i + 1)
    decoded_tensors = tf_ex_decoder.decode(serialized_example)
    image = decoded_tensors['image'].numpy().astype('uint8')
    scores = np.ones(shape=(len(decoded_tensors['groundtruth_boxes'])))
    visualization_utils.visualize_boxes_and_labels_on_image_array(
        image,
        decoded_tensors['groundtruth_boxes'].numpy(),
        decoded_tensors['groundtruth_classes'].numpy().astype('int'),
        scores,
        category_index=category_index,
        use_normalized_coordinates=use_normalized_coordinates,
        max_boxes_to_draw=200,
        min_score_thresh=min_score_thresh,
        agnostic_mode=False,
        instance_masks=None,
        line_thickness=4)

    plt.imshow(image)
    plt.axis('off')
    plt.title(f'Image-{i+1}')
  plt.show()

Visualization of train data

The bounding box detection has two components

  1. Class label of the object detected (e.g.RBC)
  2. Percentage of match between predicted and ground truth bounding boxes.
buffer_size = 20
num_of_examples = 3

raw_records = tf.data.TFRecordDataset(
    exp_config.task.train_data.input_path).shuffle(
        buffer_size=buffer_size).take(num_of_examples)
show_batch(raw_records, num_of_examples)

png

Train and evaluate.

We follow the COCO challenge tradition to evaluate the accuracy of object detection based on mAP(mean Average Precision). Please check here for detail explanation of how evaluation metrics for detection task is done.

IoU: is defined as the area of the intersection divided by the area of the union of a predicted bounding box and ground truth bounding box.

model, eval_logs = tfm.core.train_lib.run_experiment(
    distribution_strategy=distribution_strategy,
    task=task,
    mode='train_and_eval',
    params=exp_config,
    model_dir=model_dir,
    run_post_eval=True)
restoring or initializing model...
INFO:tensorflow:Customized initialization is done through the passed `init_fn`.
INFO:tensorflow:Customized initialization is done through the passed `init_fn`.
train | step:      0 | training until step 100...
2023-11-09 12:15:53.688817: W tensorflow/core/framework/dataset.cc:959] Input of GeneratorDatasetOp::Dataset will not be optimized because the dataset does not implement the AsGraphDefInternal() method needed to apply optimizations.
train | step:    100 | steps/sec:    0.7 | output: 
    {'box_loss': 0.02193972,
     'cls_loss': 0.6757131,
     'learning_rate': 0.09755283,
     'model_loss': 1.7726997,
     'total_loss': 2.8906868,
     'training_loss': 2.8906868}
saved checkpoint to ./trained_model/ckpt-100.
 eval | step:    100 | running 100 steps of evaluation...
2023-11-09 12:18:11.406759: W tensorflow/core/framework/dataset.cc:959] Input of GeneratorDatasetOp::Dataset will not be optimized because the dataset does not implement the AsGraphDefInternal() method needed to apply optimizations.
creating index...
index created!
creating index...
index created!
Running per image evaluation...
Evaluate annotation type *bbox*
DONE (t=0.42s).
Accumulating evaluation results...
DONE (t=0.06s).
 Average Precision  (AP) @[ IoU=0.50:0.95 | area=   all | maxDets=100 ] = 0.000
 Average Precision  (AP) @[ IoU=0.50      | area=   all | maxDets=100 ] = 0.000
 Average Precision  (AP) @[ IoU=0.75      | area=   all | maxDets=100 ] = 0.000
 Average Precision  (AP) @[ IoU=0.50:0.95 | area= small | maxDets=100 ] = 0.000
 Average Precision  (AP) @[ IoU=0.50:0.95 | area=medium | maxDets=100 ] = 0.000
 Average Precision  (AP) @[ IoU=0.50:0.95 | area= large | maxDets=100 ] = 0.000
 Average Recall     (AR) @[ IoU=0.50:0.95 | area=   all | maxDets=  1 ] = 0.000
 Average Recall     (AR) @[ IoU=0.50:0.95 | area=   all | maxDets= 10 ] = 0.000
 Average Recall     (AR) @[ IoU=0.50:0.95 | area=   all | maxDets=100 ] = 0.000
 Average Recall     (AR) @[ IoU=0.50:0.95 | area= small | maxDets=100 ] = 0.000
 Average Recall     (AR) @[ IoU=0.50:0.95 | area=medium | maxDets=100 ] = 0.000
 Average Recall     (AR) @[ IoU=0.50:0.95 | area= large | maxDets=100 ] = 0.000
 eval | step:    100 | steps/sec:   10.1 | eval time:    9.9 sec | output: 
    {'AP': 0.0,
     'AP50': 0.0,
     'AP75': 0.0,
     'APl': 0.0,
     'APm': 0.0,
     'APs': 0.0,
     'ARl': 0.0,
     'ARm': 0.0,
     'ARmax1': 0.0,
     'ARmax10': 0.0,
     'ARmax100': 0.0,
     'ARs': 0.0,
     'box_loss': 18.058144,
     'cls_loss': 11249.595,
     'model_loss': 12152.503,
     'steps_per_second': 10.0835173990815,
     'total_loss': 12153.81,
     'validation_loss': 12153.81}
train | step:    100 | training until step 200...
train | step:    200 | steps/sec:    0.7 | output: 
    {'box_loss': 0.008522138,
     'cls_loss': 0.50075334,
     'learning_rate': 0.090450846,
     'model_loss': 0.92686033,
     'total_loss': 2.2234242,
     'training_loss': 2.2234242}
saved checkpoint to ./trained_model/ckpt-200.
 eval | step:    200 | running 100 steps of evaluation...
2023-11-09 12:20:26.584188: W tensorflow/core/framework/dataset.cc:959] Input of GeneratorDatasetOp::Dataset will not be optimized because the dataset does not implement the AsGraphDefInternal() method needed to apply optimizations.
creating index...
index created!
creating index...
index created!
Running per image evaluation...
Evaluate annotation type *bbox*
DONE (t=0.61s).
Accumulating evaluation results...
DONE (t=0.06s).
 Average Precision  (AP) @[ IoU=0.50:0.95 | area=   all | maxDets=100 ] = 0.011
 Average Precision  (AP) @[ IoU=0.50      | area=   all | maxDets=100 ] = 0.034
 Average Precision  (AP) @[ IoU=0.75      | area=   all | maxDets=100 ] = 0.003
 Average Precision  (AP) @[ IoU=0.50:0.95 | area= small | maxDets=100 ] = 0.000
 Average Precision  (AP) @[ IoU=0.50:0.95 | area=medium | maxDets=100 ] = 0.010
 Average Precision  (AP) @[ IoU=0.50:0.95 | area= large | maxDets=100 ] = 0.059
 Average Recall     (AR) @[ IoU=0.50:0.95 | area=   all | maxDets=  1 ] = 0.004
 Average Recall     (AR) @[ IoU=0.50:0.95 | area=   all | maxDets= 10 ] = 0.029
 Average Recall     (AR) @[ IoU=0.50:0.95 | area=   all | maxDets=100 ] = 0.157
 Average Recall     (AR) @[ IoU=0.50:0.95 | area= small | maxDets=100 ] = 0.000
 Average Recall     (AR) @[ IoU=0.50:0.95 | area=medium | maxDets=100 ] = 0.049
 Average Recall     (AR) @[ IoU=0.50:0.95 | area= large | maxDets=100 ] = 0.177
 eval | step:    200 | steps/sec:   13.2 | eval time:    7.6 sec | output: 
    {'AP': 0.010944664,
     'AP50': 0.03427069,
     'AP75': 0.0026895092,
     'APl': 0.05921977,
     'APm': 0.01015669,
     'APs': 0.0,
     'ARl': 0.17723133,
     'ARm': 0.048520368,
     'ARmax1': 0.0035891088,
     'ARmax10': 0.029232906,
     'ARmax100': 0.15689641,
     'ARs': 0.0,
     'box_loss': 0.009609308,
     'cls_loss': 4.135805,
     'model_loss': 4.61627,
     'steps_per_second': 13.19492688372793,
     'total_loss': 5.900796,
     'validation_loss': 5.900796}
train | step:    200 | training until step 300...
train | step:    300 | steps/sec:    0.8 | output: 
    {'box_loss': 0.00830541,
     'cls_loss': 0.4176439,
     'learning_rate': 0.07938927,
     'model_loss': 0.8329147,
     'total_loss': 2.1065934,
     'training_loss': 2.1065934}
saved checkpoint to ./trained_model/ckpt-300.
 eval | step:    300 | running 100 steps of evaluation...
2023-11-09 12:22:38.377585: W tensorflow/core/framework/dataset.cc:959] Input of GeneratorDatasetOp::Dataset will not be optimized because the dataset does not implement the AsGraphDefInternal() method needed to apply optimizations.
creating index...
index created!
creating index...
index created!
Running per image evaluation...
Evaluate annotation type *bbox*
DONE (t=1.35s).
Accumulating evaluation results...
DONE (t=0.06s).
 Average Precision  (AP) @[ IoU=0.50:0.95 | area=   all | maxDets=100 ] = 0.016
 Average Precision  (AP) @[ IoU=0.50      | area=   all | maxDets=100 ] = 0.069
 Average Precision  (AP) @[ IoU=0.75      | area=   all | maxDets=100 ] = 0.002
 Average Precision  (AP) @[ IoU=0.50:0.95 | area= small | maxDets=100 ] = 0.000
 Average Precision  (AP) @[ IoU=0.50:0.95 | area=medium | maxDets=100 ] = 0.013
 Average Precision  (AP) @[ IoU=0.50:0.95 | area= large | maxDets=100 ] = 0.009
 Average Recall     (AR) @[ IoU=0.50:0.95 | area=   all | maxDets=  1 ] = 0.032
 Average Recall     (AR) @[ IoU=0.50:0.95 | area=   all | maxDets= 10 ] = 0.063
 Average Recall     (AR) @[ IoU=0.50:0.95 | area=   all | maxDets=100 ] = 0.141
 Average Recall     (AR) @[ IoU=0.50:0.95 | area= small | maxDets=100 ] = 0.000
 Average Recall     (AR) @[ IoU=0.50:0.95 | area=medium | maxDets=100 ] = 0.100
 Average Recall     (AR) @[ IoU=0.50:0.95 | area= large | maxDets=100 ] = 0.124
 eval | step:    300 | steps/sec:   12.5 | eval time:    8.0 sec | output: 
    {'AP': 0.016204117,
     'AP50': 0.06889212,
     'AP75': 0.0020602986,
     'APl': 0.009428242,
     'APm': 0.013351731,
     'APs': 0.0,
     'ARl': 0.123588346,
     'ARm': 0.10017456,
     'ARmax1': 0.03215091,
     'ARmax10': 0.063206546,
     'ARmax100': 0.14125936,
     'ARs': 0.0,
     'box_loss': 0.00870863,
     'cls_loss': 0.5394852,
     'model_loss': 0.97491676,
     'steps_per_second': 12.503431188892941,
     'total_loss': 2.2379956,
     'validation_loss': 2.2379956}
train | step:    300 | training until step 400...
train | step:    400 | steps/sec:    0.8 | output: 
    {'box_loss': 0.008178472,
     'cls_loss': 0.39109412,
     'learning_rate': 0.06545085,
     'model_loss': 0.8000177,
     'total_loss': 2.05375,
     'training_loss': 2.05375}
saved checkpoint to ./trained_model/ckpt-400.
 eval | step:    400 | running 100 steps of evaluation...
2023-11-09 12:24:51.305428: W tensorflow/core/framework/dataset.cc:959] Input of GeneratorDatasetOp::Dataset will not be optimized because the dataset does not implement the AsGraphDefInternal() method needed to apply optimizations.
creating index...
index created!
creating index...
index created!
Running per image evaluation...
Evaluate annotation type *bbox*
DONE (t=1.32s).
Accumulating evaluation results...
DONE (t=0.06s).
 Average Precision  (AP) @[ IoU=0.50:0.95 | area=   all | maxDets=100 ] = 0.170
 Average Precision  (AP) @[ IoU=0.50      | area=   all | maxDets=100 ] = 0.417
 Average Precision  (AP) @[ IoU=0.75      | area=   all | maxDets=100 ] = 0.080
 Average Precision  (AP) @[ IoU=0.50:0.95 | area= small | maxDets=100 ] = 0.000
 Average Precision  (AP) @[ IoU=0.50:0.95 | area=medium | maxDets=100 ] = 0.126
 Average Precision  (AP) @[ IoU=0.50:0.95 | area= large | maxDets=100 ] = 0.164
 Average Recall     (AR) @[ IoU=0.50:0.95 | area=   all | maxDets=  1 ] = 0.139
 Average Recall     (AR) @[ IoU=0.50:0.95 | area=   all | maxDets= 10 ] = 0.211
 Average Recall     (AR) @[ IoU=0.50:0.95 | area=   all | maxDets=100 ] = 0.289
 Average Recall     (AR) @[ IoU=0.50:0.95 | area= small | maxDets=100 ] = 0.000
 Average Recall     (AR) @[ IoU=0.50:0.95 | area=medium | maxDets=100 ] = 0.223
 Average Recall     (AR) @[ IoU=0.50:0.95 | area= large | maxDets=100 ] = 0.265
 eval | step:    400 | steps/sec:   12.5 | eval time:    8.0 sec | output: 
    {'AP': 0.16998358,
     'AP50': 0.41680792,
     'AP75': 0.07954546,
     'APl': 0.16424511,
     'APm': 0.12631872,
     'APs': 0.0,
     'ARl': 0.26493624,
     'ARm': 0.22271821,
     'ARmax1': 0.13854705,
     'ARmax10': 0.2114396,
     'ARmax100': 0.2887498,
     'ARs': 0.0,
     'box_loss': 0.007682202,
     'cls_loss': 0.44814157,
     'model_loss': 0.8322517,
     'steps_per_second': 12.476437706321125,
     'total_loss': 2.0770469,
     'validation_loss': 2.0770469}
train | step:    400 | training until step 500...
train | step:    500 | steps/sec:    0.8 | output: 
    {'box_loss': 0.008003844,
     'cls_loss': 0.37224656,
     'learning_rate': 0.049999997,
     'model_loss': 0.77243865,
     'total_loss': 2.0097175,
     'training_loss': 2.0097175}
saved checkpoint to ./trained_model/ckpt-500.
 eval | step:    500 | running 100 steps of evaluation...
2023-11-09 12:27:03.978075: W tensorflow/core/framework/dataset.cc:959] Input of GeneratorDatasetOp::Dataset will not be optimized because the dataset does not implement the AsGraphDefInternal() method needed to apply optimizations.
creating index...
index created!
creating index...
index created!
Running per image evaluation...
Evaluate annotation type *bbox*
DONE (t=1.31s).
Accumulating evaluation results...
DONE (t=0.06s).
 Average Precision  (AP) @[ IoU=0.50:0.95 | area=   all | maxDets=100 ] = 0.144
 Average Precision  (AP) @[ IoU=0.50      | area=   all | maxDets=100 ] = 0.409
 Average Precision  (AP) @[ IoU=0.75      | area=   all | maxDets=100 ] = 0.018
 Average Precision  (AP) @[ IoU=0.50:0.95 | area= small | maxDets=100 ] = 0.000
 Average Precision  (AP) @[ IoU=0.50:0.95 | area=medium | maxDets=100 ] = 0.068
 Average Precision  (AP) @[ IoU=0.50:0.95 | area= large | maxDets=100 ] = 0.146
 Average Recall     (AR) @[ IoU=0.50:0.95 | area=   all | maxDets=  1 ] = 0.141
 Average Recall     (AR) @[ IoU=0.50:0.95 | area=   all | maxDets= 10 ] = 0.177
 Average Recall     (AR) @[ IoU=0.50:0.95 | area=   all | maxDets=100 ] = 0.249
 Average Recall     (AR) @[ IoU=0.50:0.95 | area= small | maxDets=100 ] = 0.000
 Average Recall     (AR) @[ IoU=0.50:0.95 | area=medium | maxDets=100 ] = 0.163
 Average Recall     (AR) @[ IoU=0.50:0.95 | area= large | maxDets=100 ] = 0.228
 eval | step:    500 | steps/sec:   12.6 | eval time:    8.0 sec | output: 
    {'AP': 0.14389119,
     'AP50': 0.40903544,
     'AP75': 0.01820877,
     'APl': 0.14554419,
     'APm': 0.06774697,
     'APs': 0.0,
     'ARl': 0.22750455,
     'ARm': 0.16317539,
     'ARmax1': 0.14100254,
     'ARmax10': 0.17656359,
     'ARmax100': 0.24859329,
     'ARs': 0.0,
     'box_loss': 0.008371367,
     'cls_loss': 0.46203443,
     'model_loss': 0.8806029,
     'steps_per_second': 12.550521613819056,
     'total_loss': 2.110864,
     'validation_loss': 2.110864}
train | step:    500 | training until step 600...
train | step:    600 | steps/sec:    0.8 | output: 
    {'box_loss': 0.0075427825,
     'cls_loss': 0.36228406,
     'learning_rate': 0.034549143,
     'model_loss': 0.739423,
     'total_loss': 1.9641409,
     'training_loss': 1.9641409}
saved checkpoint to ./trained_model/ckpt-600.
 eval | step:    600 | running 100 steps of evaluation...
2023-11-09 12:29:16.661897: W tensorflow/core/framework/dataset.cc:959] Input of GeneratorDatasetOp::Dataset will not be optimized because the dataset does not implement the AsGraphDefInternal() method needed to apply optimizations.
creating index...
index created!
creating index...
index created!
Running per image evaluation...
Evaluate annotation type *bbox*
DONE (t=1.26s).
Accumulating evaluation results...
DONE (t=0.06s).
 Average Precision  (AP) @[ IoU=0.50:0.95 | area=   all | maxDets=100 ] = 0.205
 Average Precision  (AP) @[ IoU=0.50      | area=   all | maxDets=100 ] = 0.494
 Average Precision  (AP) @[ IoU=0.75      | area=   all | maxDets=100 ] = 0.074
 Average Precision  (AP) @[ IoU=0.50:0.95 | area= small | maxDets=100 ] = 0.000
 Average Precision  (AP) @[ IoU=0.50:0.95 | area=medium | maxDets=100 ] = 0.165
 Average Precision  (AP) @[ IoU=0.50:0.95 | area= large | maxDets=100 ] = 0.210
 Average Recall     (AR) @[ IoU=0.50:0.95 | area=   all | maxDets=  1 ] = 0.178
 Average Recall     (AR) @[ IoU=0.50:0.95 | area=   all | maxDets= 10 ] = 0.249
 Average Recall     (AR) @[ IoU=0.50:0.95 | area=   all | maxDets=100 ] = 0.304
 Average Recall     (AR) @[ IoU=0.50:0.95 | area= small | maxDets=100 ] = 0.000
 Average Recall     (AR) @[ IoU=0.50:0.95 | area=medium | maxDets=100 ] = 0.288
 Average Recall     (AR) @[ IoU=0.50:0.95 | area= large | maxDets=100 ] = 0.281
 eval | step:    600 | steps/sec:   12.3 | eval time:    8.1 sec | output: 
    {'AP': 0.20549679,
     'AP50': 0.49406928,
     'AP75': 0.074281454,
     'APl': 0.20956378,
     'APm': 0.16475147,
     'APs': 0.0,
     'ARl': 0.2809654,
     'ARm': 0.28829592,
     'ARmax1': 0.17803712,
     'ARmax10': 0.24863629,
     'ARmax100': 0.3042056,
     'ARs': 0.0,
     'box_loss': 0.007942874,
     'cls_loss': 0.3965486,
     'model_loss': 0.79369235,
     'steps_per_second': 12.345320504588557,
     'total_loss': 2.013407,
     'validation_loss': 2.013407}
train | step:    600 | training until step 700...
train | step:    700 | steps/sec:    0.8 | output: 
    {'box_loss': 0.007070377,
     'cls_loss': 0.34681392,
     'learning_rate': 0.02061074,
     'model_loss': 0.7003328,
     'total_loss': 1.91634,
     'training_loss': 1.91634}
saved checkpoint to ./trained_model/ckpt-700.
 eval | step:    700 | running 100 steps of evaluation...
2023-11-09 12:31:29.396952: W tensorflow/core/framework/dataset.cc:959] Input of GeneratorDatasetOp::Dataset will not be optimized because the dataset does not implement the AsGraphDefInternal() method needed to apply optimizations.
creating index...
index created!
creating index...
index created!
Running per image evaluation...
Evaluate annotation type *bbox*
DONE (t=1.25s).
Accumulating evaluation results...
DONE (t=0.06s).
 Average Precision  (AP) @[ IoU=0.50:0.95 | area=   all | maxDets=100 ] = 0.266
 Average Precision  (AP) @[ IoU=0.50      | area=   all | maxDets=100 ] = 0.548
 Average Precision  (AP) @[ IoU=0.75      | area=   all | maxDets=100 ] = 0.195
 Average Precision  (AP) @[ IoU=0.50:0.95 | area= small | maxDets=100 ] = 0.000
 Average Precision  (AP) @[ IoU=0.50:0.95 | area=medium | maxDets=100 ] = 0.211
 Average Precision  (AP) @[ IoU=0.50:0.95 | area= large | maxDets=100 ] = 0.320
 Average Recall     (AR) @[ IoU=0.50:0.95 | area=   all | maxDets=  1 ] = 0.199
 Average Recall     (AR) @[ IoU=0.50:0.95 | area=   all | maxDets= 10 ] = 0.293
 Average Recall     (AR) @[ IoU=0.50:0.95 | area=   all | maxDets=100 ] = 0.354
 Average Recall     (AR) @[ IoU=0.50:0.95 | area= small | maxDets=100 ] = 0.000
 Average Recall     (AR) @[ IoU=0.50:0.95 | area=medium | maxDets=100 ] = 0.314
 Average Recall     (AR) @[ IoU=0.50:0.95 | area= large | maxDets=100 ] = 0.339
 eval | step:    700 | steps/sec:   12.4 | eval time:    8.0 sec | output: 
    {'AP': 0.26574683,
     'AP50': 0.54845077,
     'AP75': 0.19461285,
     'APl': 0.3196148,
     'APm': 0.21140255,
     'APs': 0.0,
     'ARl': 0.33888888,
     'ARm': 0.31413966,
     'ARmax1': 0.19884779,
     'ARmax10': 0.29322097,
     'ARmax100': 0.35407078,
     'ARs': 0.0,
     'box_loss': 0.006610607,
     'cls_loss': 0.35634473,
     'model_loss': 0.68687505,
     'steps_per_second': 12.437609994369083,
     'total_loss': 1.8996844,
     'validation_loss': 1.8996844}
train | step:    700 | training until step 800...
train | step:    800 | steps/sec:    0.8 | output: 
    {'box_loss': 0.006680321,
     'cls_loss': 0.3391388,
     'learning_rate': 0.009549147,
     'model_loss': 0.673155,
     'total_loss': 1.8838484,
     'training_loss': 1.8838484}
saved checkpoint to ./trained_model/ckpt-800.
 eval | step:    800 | running 100 steps of evaluation...
2023-11-09 12:33:41.871412: W tensorflow/core/framework/dataset.cc:959] Input of GeneratorDatasetOp::Dataset will not be optimized because the dataset does not implement the AsGraphDefInternal() method needed to apply optimizations.
creating index...
index created!
creating index...
index created!
Running per image evaluation...
Evaluate annotation type *bbox*
DONE (t=1.21s).
Accumulating evaluation results...
DONE (t=0.06s).
 Average Precision  (AP) @[ IoU=0.50:0.95 | area=   all | maxDets=100 ] = 0.270
 Average Precision  (AP) @[ IoU=0.50      | area=   all | maxDets=100 ] = 0.551
 Average Precision  (AP) @[ IoU=0.75      | area=   all | maxDets=100 ] = 0.228
 Average Precision  (AP) @[ IoU=0.50:0.95 | area= small | maxDets=100 ] = 0.000
 Average Precision  (AP) @[ IoU=0.50:0.95 | area=medium | maxDets=100 ] = 0.238
 Average Precision  (AP) @[ IoU=0.50:0.95 | area= large | maxDets=100 ] = 0.293
 Average Recall     (AR) @[ IoU=0.50:0.95 | area=   all | maxDets=  1 ] = 0.203
 Average Recall     (AR) @[ IoU=0.50:0.95 | area=   all | maxDets= 10 ] = 0.292
 Average Recall     (AR) @[ IoU=0.50:0.95 | area=   all | maxDets=100 ] = 0.355
 Average Recall     (AR) @[ IoU=0.50:0.95 | area= small | maxDets=100 ] = 0.000
 Average Recall     (AR) @[ IoU=0.50:0.95 | area=medium | maxDets=100 ] = 0.330
 Average Recall     (AR) @[ IoU=0.50:0.95 | area= large | maxDets=100 ] = 0.310
 eval | step:    800 | steps/sec:   12.2 | eval time:    8.2 sec | output: 
    {'AP': 0.27034393,
     'AP50': 0.55116975,
     'AP75': 0.22773828,
     'APl': 0.29330468,
     'APm': 0.23779006,
     'APs': 0.0,
     'ARl': 0.30956283,
     'ARm': 0.33016625,
     'ARmax1': 0.2025409,
     'ARmax10': 0.29244527,
     'ARmax100': 0.35519278,
     'ARs': 0.0,
     'box_loss': 0.006337466,
     'cls_loss': 0.3529123,
     'model_loss': 0.6697856,
     'steps_per_second': 12.213763576089187,
     'total_loss': 1.8787861,
     'validation_loss': 1.8787861}
train | step:    800 | training until step 900...
train | step:    900 | steps/sec:    0.8 | output: 
    {'box_loss': 0.006552434,
     'cls_loss': 0.3347254,
     'learning_rate': 0.002447176,
     'model_loss': 0.6623471,
     'total_loss': 1.8704419,
     'training_loss': 1.8704419}
saved checkpoint to ./trained_model/ckpt-900.
 eval | step:    900 | running 100 steps of evaluation...
2023-11-09 12:35:54.334538: W tensorflow/core/framework/dataset.cc:959] Input of GeneratorDatasetOp::Dataset will not be optimized because the dataset does not implement the AsGraphDefInternal() method needed to apply optimizations.
creating index...
index created!
creating index...
index created!
Running per image evaluation...
Evaluate annotation type *bbox*
DONE (t=1.22s).
Accumulating evaluation results...
DONE (t=0.06s).
 Average Precision  (AP) @[ IoU=0.50:0.95 | area=   all | maxDets=100 ] = 0.265
 Average Precision  (AP) @[ IoU=0.50      | area=   all | maxDets=100 ] = 0.563
 Average Precision  (AP) @[ IoU=0.75      | area=   all | maxDets=100 ] = 0.146
 Average Precision  (AP) @[ IoU=0.50:0.95 | area= small | maxDets=100 ] = 0.000
 Average Precision  (AP) @[ IoU=0.50:0.95 | area=medium | maxDets=100 ] = 0.261
 Average Precision  (AP) @[ IoU=0.50:0.95 | area= large | maxDets=100 ] = 0.306
 Average Recall     (AR) @[ IoU=0.50:0.95 | area=   all | maxDets=  1 ] = 0.197
 Average Recall     (AR) @[ IoU=0.50:0.95 | area=   all | maxDets= 10 ] = 0.290
 Average Recall     (AR) @[ IoU=0.50:0.95 | area=   all | maxDets=100 ] = 0.348
 Average Recall     (AR) @[ IoU=0.50:0.95 | area= small | maxDets=100 ] = 0.000
 Average Recall     (AR) @[ IoU=0.50:0.95 | area=medium | maxDets=100 ] = 0.344
 Average Recall     (AR) @[ IoU=0.50:0.95 | area= large | maxDets=100 ] = 0.326
 eval | step:    900 | steps/sec:   12.2 | eval time:    8.2 sec | output: 
    {'AP': 0.26503274,
     'AP50': 0.5632806,
     'AP75': 0.1462794,
     'APl': 0.30633608,
     'APm': 0.26065546,
     'APs': 0.0,
     'ARl': 0.3263206,
     'ARm': 0.34426433,
     'ARmax1': 0.19695416,
     'ARmax10': 0.28974226,
     'ARmax100': 0.3476218,
     'ARs': 0.0,
     'box_loss': 0.006341949,
     'cls_loss': 0.3344063,
     'model_loss': 0.6515038,
     'steps_per_second': 12.173977857621107,
     'total_loss': 1.8589785,
     'validation_loss': 1.8589785}
train | step:    900 | training until step 1000...
train | step:   1000 | steps/sec:    0.8 | output: 
    {'box_loss': 0.0064173574,
     'cls_loss': 0.33288643,
     'learning_rate': 0.0,
     'model_loss': 0.6537543,
     'total_loss': 1.8610404,
     'training_loss': 1.8610404}
saved checkpoint to ./trained_model/ckpt-1000.
 eval | step:   1000 | running 100 steps of evaluation...
2023-11-09 12:38:06.900922: W tensorflow/core/framework/dataset.cc:959] Input of GeneratorDatasetOp::Dataset will not be optimized because the dataset does not implement the AsGraphDefInternal() method needed to apply optimizations.
creating index...
index created!
creating index...
index created!
Running per image evaluation...
Evaluate annotation type *bbox*
DONE (t=1.22s).
Accumulating evaluation results...
DONE (t=0.06s).
 Average Precision  (AP) @[ IoU=0.50:0.95 | area=   all | maxDets=100 ] = 0.258
 Average Precision  (AP) @[ IoU=0.50      | area=   all | maxDets=100 ] = 0.554
 Average Precision  (AP) @[ IoU=0.75      | area=   all | maxDets=100 ] = 0.137
 Average Precision  (AP) @[ IoU=0.50:0.95 | area= small | maxDets=100 ] = 0.000
 Average Precision  (AP) @[ IoU=0.50:0.95 | area=medium | maxDets=100 ] = 0.247
 Average Precision  (AP) @[ IoU=0.50:0.95 | area= large | maxDets=100 ] = 0.298
 Average Recall     (AR) @[ IoU=0.50:0.95 | area=   all | maxDets=  1 ] = 0.193
 Average Recall     (AR) @[ IoU=0.50:0.95 | area=   all | maxDets= 10 ] = 0.287
 Average Recall     (AR) @[ IoU=0.50:0.95 | area=   all | maxDets=100 ] = 0.344
 Average Recall     (AR) @[ IoU=0.50:0.95 | area= small | maxDets=100 ] = 0.000
 Average Recall     (AR) @[ IoU=0.50:0.95 | area=medium | maxDets=100 ] = 0.329
 Average Recall     (AR) @[ IoU=0.50:0.95 | area= large | maxDets=100 ] = 0.324
 eval | step:   1000 | steps/sec:   11.6 | eval time:    8.6 sec | output: 
    {'AP': 0.25785798,
     'AP50': 0.5541018,
     'AP75': 0.13742597,
     'APl': 0.29831147,
     'APm': 0.24709457,
     'APs': 0.0,
     'ARl': 0.32358834,
     'ARm': 0.3290108,
     'ARmax1': 0.19289383,
     'ARmax10': 0.28744015,
     'ARmax100': 0.3443296,
     'ARs': 0.0,
     'box_loss': 0.006123655,
     'cls_loss': 0.3268734,
     'model_loss': 0.6330561,
     'steps_per_second': 11.647036187140033,
     'total_loss': 1.8402674,
     'validation_loss': 1.8402674}
 eval | step:   1000 | running 100 steps of evaluation...
creating index...
index created!
creating index...
index created!
Running per image evaluation...
Evaluate annotation type *bbox*
DONE (t=1.21s).
Accumulating evaluation results...
DONE (t=0.06s).
 Average Precision  (AP) @[ IoU=0.50:0.95 | area=   all | maxDets=100 ] = 0.258
 Average Precision  (AP) @[ IoU=0.50      | area=   all | maxDets=100 ] = 0.554
 Average Precision  (AP) @[ IoU=0.75      | area=   all | maxDets=100 ] = 0.137
 Average Precision  (AP) @[ IoU=0.50:0.95 | area= small | maxDets=100 ] = 0.000
 Average Precision  (AP) @[ IoU=0.50:0.95 | area=medium | maxDets=100 ] = 0.247
 Average Precision  (AP) @[ IoU=0.50:0.95 | area= large | maxDets=100 ] = 0.298
 Average Recall     (AR) @[ IoU=0.50:0.95 | area=   all | maxDets=  1 ] = 0.193
 Average Recall     (AR) @[ IoU=0.50:0.95 | area=   all | maxDets= 10 ] = 0.287
 Average Recall     (AR) @[ IoU=0.50:0.95 | area=   all | maxDets=100 ] = 0.344
 Average Recall     (AR) @[ IoU=0.50:0.95 | area= small | maxDets=100 ] = 0.000
 Average Recall     (AR) @[ IoU=0.50:0.95 | area=medium | maxDets=100 ] = 0.329
 Average Recall     (AR) @[ IoU=0.50:0.95 | area= large | maxDets=100 ] = 0.324
 eval | step:   1000 | steps/sec:   12.1 | eval time:    8.2 sec | output: 
    {'AP': 0.25785798,
     'AP50': 0.5541018,
     'AP75': 0.13742597,
     'APl': 0.29831147,
     'APm': 0.24709457,
     'APs': 0.0,
     'ARl': 0.32358834,
     'ARm': 0.3290108,
     'ARmax1': 0.19289383,
     'ARmax10': 0.28744015,
     'ARmax100': 0.3443296,
     'ARs': 0.0,
     'box_loss': 0.006123655,
     'cls_loss': 0.3268734,
     'model_loss': 0.6330561,
     'steps_per_second': 12.140613310097448,
     'total_loss': 1.8402674,
     'validation_loss': 1.8402674}

Load logs in tensorboard.

%load_ext tensorboard
%tensorboard --logdir './trained_model/'

Saving and exporting the trained model.

The keras.Model object returned by train_lib.run_experiment expects the data to be normalized by the dataset loader using the same mean and variance statiscics in preprocess_ops.normalize_image(image, offset=MEAN_RGB, scale=STDDEV_RGB). This export function handles those details, so you can pass tf.uint8 images and get the correct results.

export_saved_model_lib.export_inference_graph(
    input_type='image_tensor',
    batch_size=1,
    input_image_size=[HEIGHT, WIDTH],
    params=exp_config,
    checkpoint_path=tf.train.latest_checkpoint(model_dir),
    export_dir=export_dir)
WARNING:tensorflow:Skipping full serialization of Keras layer <official.vision.modeling.retinanet_model.RetinaNetModel object at 0x7f29ec799a90>, because it is not built.
WARNING:tensorflow:Skipping full serialization of Keras layer <official.vision.modeling.retinanet_model.RetinaNetModel object at 0x7f29ec799a90>, because it is not built.
WARNING:tensorflow:Skipping full serialization of Keras layer <official.vision.modeling.layers.detection_generator.MultilevelDetectionGenerator object at 0x7f2a30060940>, because it is not built.
WARNING:tensorflow:Skipping full serialization of Keras layer <official.vision.modeling.layers.detection_generator.MultilevelDetectionGenerator object at 0x7f2a30060940>, because it is not built.
INFO:tensorflow:Assets written to: ./exported_model/assets
INFO:tensorflow:Assets written to: ./exported_model/assets

Inference from trained model

def load_image_into_numpy_array(path):
  """Load an image from file into a numpy array.

  Puts image into numpy array to feed into tensorflow graph.
  Note that by convention we put it into a numpy array with shape
  (height, width, channels), where channels=3 for RGB.

  Args:
    path: the file path to the image

  Returns:
    uint8 numpy array with shape (img_height, img_width, 3)
  """
  image = None
  if(path.startswith('http')):
    response = urlopen(path)
    image_data = response.read()
    image_data = BytesIO(image_data)
    image = Image.open(image_data)
  else:
    image_data = tf.io.gfile.GFile(path, 'rb').read()
    image = Image.open(BytesIO(image_data))

  (im_width, im_height) = image.size
  return np.array(image.getdata()).reshape(
      (1, im_height, im_width, 3)).astype(np.uint8)



def build_inputs_for_object_detection(image, input_image_size):
  """Builds Object Detection model inputs for serving."""
  image, _ = resize_and_crop_image(
      image,
      input_image_size,
      padded_size=input_image_size,
      aug_scale_min=1.0,
      aug_scale_max=1.0)
  return image

Visualize test data.

num_of_examples = 3

test_ds = tf.data.TFRecordDataset(
    './bccd_coco_tfrecords/test-00000-of-00001.tfrecord').take(
        num_of_examples)
show_batch(test_ds, num_of_examples)

png

Importing SavedModel.

imported = tf.saved_model.load(export_dir)
model_fn = imported.signatures['serving_default']

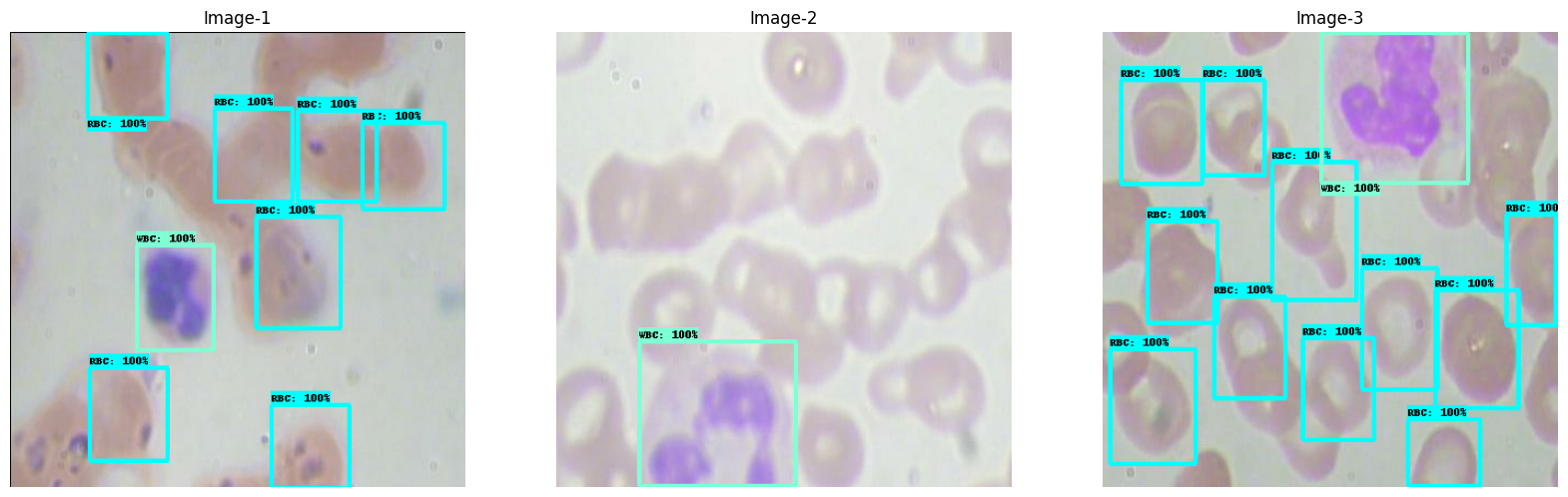
Visualize predictions.

input_image_size = (HEIGHT, WIDTH)
plt.figure(figsize=(20, 20))
min_score_thresh = 0.30 # Change minimum score for threshold to see all bounding boxes confidences.

for i, serialized_example in enumerate(test_ds):
  plt.subplot(1, 3, i+1)
  decoded_tensors = tf_ex_decoder.decode(serialized_example)
  image = build_inputs_for_object_detection(decoded_tensors['image'], input_image_size)
  image = tf.expand_dims(image, axis=0)
  image = tf.cast(image, dtype = tf.uint8)
  image_np = image[0].numpy()
  result = model_fn(image)
  visualization_utils.visualize_boxes_and_labels_on_image_array(
      image_np,
      result['detection_boxes'][0].numpy(),
      result['detection_classes'][0].numpy().astype(int),
      result['detection_scores'][0].numpy(),
      category_index=category_index,
      use_normalized_coordinates=False,
      max_boxes_to_draw=200,
      min_score_thresh=min_score_thresh,
      agnostic_mode=False,
      instance_masks=None,
      line_thickness=4)
  plt.imshow(image_np)
  plt.axis('off')

plt.show()

png