Zobacz na TensorFlow.org | Uruchom w Google Colab | Wyświetl źródło na GitHub | Pobierz notatnik |
Przegląd
Ten poradnik pokazuje, jak używać tfio.image.decode_dicom_image w TensorFlow IO do dekodowania plików DICOM z TensorFlow.
Konfiguracja i użytkowanie
Pobierz obraz DICOM
Obraz DICOM wykorzystane w tym tutorialu pochodzi z NIH RTG klatki piersiowej zbiorze .
NIH RTG klatki piersiowej zestaw danych składa się z 100.000 de zidentyfikowanych obrazów rentgenowskich klatki piersiowej w formacie PNG, świadczonych przez NIH Clinical Center i można pobrać za pośrednictwem tego linka .
Google Cloud zapewnia również wersję DICOM obrazów, dostępną w chmurze .
W tym poradniku, będzie można pobrać przykładowy plik zbioru danych z repo GitHub
- Xiaosong Wang, Yifan Peng, Le Lu, Zhiyong Lu, Mohammadhadi Bagheri, Ronald Summers, ChestX-ray8: Szpitalna baza danych rentgenowskich klatki piersiowej i punkty odniesienia dotyczące słabo nadzorowanej klasyfikacji i lokalizacji powszechnych chorób klatki piersiowej, IEEE CVPR, s. 3462 -3471, 2017
curl -OL https://github.com/tensorflow/io/raw/master/docs/tutorials/dicom/dicom_00000001_000.dcmls -l dicom_00000001_000.dcm
% Total % Received % Xferd Average Speed Time Time Time Current
Dload Upload Total Spent Left Speed
100 164 0 164 0 0 600 0 --:--:-- --:--:-- --:--:-- 598
100 1024k 100 1024k 0 0 1915k 0 --:--:-- --:--:-- --:--:-- 1915k
-rw-rw-r-- 1 kbuilder kokoro 1049332 Nov 22 03:47 dicom_00000001_000.dcm
Zainstaluj wymagane pakiety i uruchom ponownie środowisko wykonawcze
try:
# Use the Colab's preinstalled TensorFlow 2.x
%tensorflow_version 2.x
except:
pass
pip install tensorflow-io
Dekoduj obraz DICOM
import matplotlib.pyplot as plt
import numpy as np
import tensorflow as tf
import tensorflow_io as tfio
image_bytes = tf.io.read_file('dicom_00000001_000.dcm')
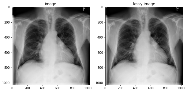
image = tfio.image.decode_dicom_image(image_bytes, dtype=tf.uint16)
skipped = tfio.image.decode_dicom_image(image_bytes, on_error='skip', dtype=tf.uint8)
lossy_image = tfio.image.decode_dicom_image(image_bytes, scale='auto', on_error='lossy', dtype=tf.uint8)
fig, axes = plt.subplots(1,2, figsize=(10,10))
axes[0].imshow(np.squeeze(image.numpy()), cmap='gray')
axes[0].set_title('image')
axes[1].imshow(np.squeeze(lossy_image.numpy()), cmap='gray')
axes[1].set_title('lossy image');
2021-11-22 03:47:53.016507: E tensorflow/stream_executor/cuda/cuda_driver.cc:271] failed call to cuInit: CUDA_ERROR_NO_DEVICE: no CUDA-capable device is detected

Dekodowanie metadanych DICOM i praca z tagami
decode_dicom_data dekoduje informacje zawarte w znacznikach. dicom_tags zawiera użyteczne informacje jak wiek i płeć pacjenta, dzięki czemu można używać znaczników takich jak DICOM dicom_tags.PatientsAge i dicom_tags.PatientsSex . tensorflow_io pożyczyć tę samą notację tagów z pakietu dicom pydicom.
tag_id = tfio.image.dicom_tags.PatientsAge
tag_value = tfio.image.decode_dicom_data(image_bytes,tag_id)
print(tag_value)
tf.Tensor(b'58', shape=(), dtype=string)
print(f"PatientsAge : {tag_value.numpy().decode('UTF-8')}")
PatientsAge : 58
tag_id = tfio.image.dicom_tags.PatientsSex
tag_value = tfio.image.decode_dicom_data(image_bytes,tag_id)
print(f"PatientsSex : {tag_value.numpy().decode('UTF-8')}")
PatientsSex : M
Zobacz na TensorFlow.org
Uruchom w Google Colab
Wyświetl źródło na GitHub
Pobierz notatnik