Veja no TensorFlow.org | Executar no Google Colab | Ver fonte no GitHub | Baixar caderno |
Visão geral
Isto mostra tutorial como usar tfio.image.decode_dicom_image em TensorFlow IO para decodificar DICOM arquivos com TensorFlow.
Configuração e uso
Baixar imagem DICOM
A imagem DICOM usado neste tutorial é a partir do conjunto de dados de raios-X NIH Peito .
O conjunto de dados de raios-X NIH Peito consiste de 100.000 imagens de-identificados de raios-x do tórax em formato PNG, fornecidos pelo NIH Clinical Center e pode ser baixado através desta ligação .
Google Cloud também oferece uma versão DICOM das imagens, disponível no Cloud Storage .
Neste tutorial, você vai baixar um arquivo de amostra do conjunto de dados a partir do repo GitHub
- Xiaosong Wang, Yifan Peng, Le Lu, Zhiyong Lu, Mohammadhadi Bagheri, Ronald Summers, ChestX-ray8: Banco de dados de raios-X de tórax em escala hospitalar e referências sobre classificação e localização fracamente supervisionadas de doenças comuns do tórax, IEEE CVPR, pp. 3462 -3471, 2017
curl -OL https://github.com/tensorflow/io/raw/master/docs/tutorials/dicom/dicom_00000001_000.dcmls -l dicom_00000001_000.dcm
% Total % Received % Xferd Average Speed Time Time Time Current
Dload Upload Total Spent Left Speed
100 164 0 164 0 0 600 0 --:--:-- --:--:-- --:--:-- 598
100 1024k 100 1024k 0 0 1915k 0 --:--:-- --:--:-- --:--:-- 1915k
-rw-rw-r-- 1 kbuilder kokoro 1049332 Nov 22 03:47 dicom_00000001_000.dcm
Instale os pacotes necessários e reinicie o tempo de execução
try:
# Use the Colab's preinstalled TensorFlow 2.x
%tensorflow_version 2.x
except:
pass
pip install tensorflow-io
Decodificar imagem DICOM
import matplotlib.pyplot as plt
import numpy as np
import tensorflow as tf
import tensorflow_io as tfio
image_bytes = tf.io.read_file('dicom_00000001_000.dcm')
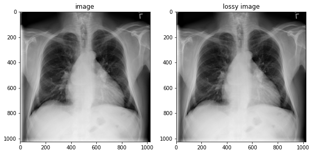
image = tfio.image.decode_dicom_image(image_bytes, dtype=tf.uint16)
skipped = tfio.image.decode_dicom_image(image_bytes, on_error='skip', dtype=tf.uint8)
lossy_image = tfio.image.decode_dicom_image(image_bytes, scale='auto', on_error='lossy', dtype=tf.uint8)
fig, axes = plt.subplots(1,2, figsize=(10,10))
axes[0].imshow(np.squeeze(image.numpy()), cmap='gray')
axes[0].set_title('image')
axes[1].imshow(np.squeeze(lossy_image.numpy()), cmap='gray')
axes[1].set_title('lossy image');
2021-11-22 03:47:53.016507: E tensorflow/stream_executor/cuda/cuda_driver.cc:271] failed call to cuInit: CUDA_ERROR_NO_DEVICE: no CUDA-capable device is detected

Decodificar metadados DICOM e trabalhar com tags
decode_dicom_data decodifica informações tag. dicom_tags contém informações úteis como idade e sexo do paciente, de modo que você pode usar DICOM tags como dicom_tags.PatientsAge e dicom_tags.PatientsSex . tensorflow_io usa a mesma notação de tag do pacote pydicom dicom.
tag_id = tfio.image.dicom_tags.PatientsAge
tag_value = tfio.image.decode_dicom_data(image_bytes,tag_id)
print(tag_value)
tf.Tensor(b'58', shape=(), dtype=string)
print(f"PatientsAge : {tag_value.numpy().decode('UTF-8')}")
PatientsAge : 58
tag_id = tfio.image.dicom_tags.PatientsSex
tag_value = tfio.image.decode_dicom_data(image_bytes,tag_id)
print(f"PatientsSex : {tag_value.numpy().decode('UTF-8')}")
PatientsSex : M
Veja no TensorFlow.org
Executar no Google Colab
Ver fonte no GitHub
Baixar caderno